Friday, 25 June 2021

Toofee or not toofee

 It happened while I was eating a ham sandwich at a friend's house. Something was very, very wrong. Here was the stuff of nightmares. My mouth had changed irrevocably; my tongue was poking out from between my front teeth. A front tooth had sheared off.  I managed to retrieve the remnant before I swallowed it but the horror was so strong. It meant a permanent change and major financial issues. That tooth had a history of dental cockups.

When I was 18 years old I developed a carie and it was filled but the dentist did something which encouraged a rampant infection which then resulted in root canal and a dead tooth. I was laid up in bed for a week with severe bruising, unable to see over my cheeks or eat other than through a straw.

Over the years, the inside of the tooth progressively blackened. When living in Wellington, years later, I had a crown put on but the dentist worried about my bite and made the tooth stick out like a rabbit. Hideous. I tried to avoid smiling from there on in, I felt so embarassed. In 2001 I had the tooth recrowned and this time it was aligned with the rest of my front teeth in time for my second marriage. Still, the peg inside was darker and slightly visible.

When I hooked up with JC in France in 2011 he considered


the NZ dental work I had had done to be substandard. Utterly unacceptable in France. Heavily filled back teeth from the 'dental nurse' era means teeth are disintegrating and we all know there are major problems for we elder folks in terms of the unaffordability of dental healthcare in this country. I was about to get a personal lesson in that.

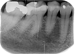
It being Waitangi weekend it was really difficult to find an emergency dentist. After many dead ends I found one in Hornby, Goodbye to $1050. Simple Xrays were taken, an impression made and I was required to make a major decision on the spot. To have a permanent plate and all the awkwardness and inconvenience that entailed or to have a temporary one that could only look OK as a smile-saver. I instantly had to consider the long-term options.

The options: Live the rest of my life with a hideous gap in the front of my mouth. Not an option as it makes me look like the wicked witch of the west and I am trying to become an entertainer (again). I also have trouble eating.

Have a permanent partial plate which might not be all that great when eating and would need a fair bit of looking after and which might necessitate deliberately damaging the teeth on each side to get it to fit and function.

Or I could get a dental implant which would ultimately behave like a normal tooth. It would look normal and I could eat normally and it would never have a gap. Downside is horrendous cost. Just how horrendous could it be? I sought quotes but those don't exactly exist. At best you get an estimate because the process is shared between a maxillofacial surgeon and a dentist. One said $6000 for an implant, another one said $8000. I had already done a bit of research, looking for a satisfactory permanent solution. 

I sent the Xrays off to JC and asked his opinion on the best solution. We both felt that an implant was the only reasonable solution but the cost was way beyond my resources. JC offered to pay the cheapest estimate, bless him, though I told him he is no longer responsible for me. His generosity relieved a bit of the stress but the consultation with the surgeon since then has added more stress as he informed me I'd need to pay at least $1000 more than the dentist had told me. I am not sure how I will find that.

The implant process itself takes months but the wait to be seen by a surgeon for an initial consultation takes months too. I had to wait four months. I am now booked in for the procedure to remove the broken peg and root  and to insert a screw into my upper jawbone. That is then left to heal and fuse together, an abutment put on, and then a prosthetic tooth is created to fit over the abutment. I understand this is relatively simple but the cost for one tooth is massive. Once it is done it should last me the rest of my life, which is probably more than can be said for my other front teeth. Good teeth are essential to our health. Removing teeth can result in loss of bone in the jaw, digestive and heart problems.

I hate the plate. It took me a week to stop gagging with it in my mouth although the gagging relex returns at times. It takes up a lot of space in my mouth, pushes my tongue where it shouldn't be and makes trying to sing troublesome so I am not currently singing. Any time I want to eat something I have to take it out as it is not functional, other than for aesthetics. Eating apples or anything hard is impossible with it and almost impossible without it. Yuck, where to discretely stick it? I also have to warn anyone around me of what I am doing and to expect Witchypoo to appear over mealtimes. My other teeth don't like the pressure on them and I am scared of losing such an expensive appliance.

I have opted for local anaesthesia as this is cheapest so I guess I will know all about the extraction and hole-drilling. I'm told I can drive straight after the operation and that pain can be managed for the first few days. Hmmm, I hope so.

This process takes many months so I am hoping I might have a proper tooth by Christmas.

The consultation with the surgeon takes the form of lots of waiting, high-tech xrays which are effectively 3-D modelling, information on current medications, checking bone quantity and density, preferences for anaesthesia and confirmation that I am happy to proceed, signing a consent form.I was told my oral hygiene is satisfactory and so are my gums. I reflected that I have not had a professional clean since 2008. This should be done before the operation to help protect my heart from subsequent infections.

I see a lot of dental decay in my age group, with a lot of teeth missing so I am grateful I can get this solution started.